Böbrek
Vücudumuzda bir çift fasulye biçimindeki organdır.
Bu organın ana görevi üre yapımıdır. Yapım aşamaları; filtrasyon, yeniden emilim ve yoğunlaştırma. Salgılama ve yeniden emilim sayesinde, böbrek önemli sistematik düzenlemelere katılır;
- Su ve iyon dengesi
- Baz ve asit dengesi.
Bunun dışında böbrek endokrin bir ograndır. Renin eritropoetin salgısı ve sentez sayesinde, sistematik kan basıncı düzenlemesi ve eritropoez katılır.
Anatomi
Genel Bakış
- İnsanlarda böbrekler primer retroperitoneal boşlukta diyaframın altında bulunur.
- Yaklaşık 10-12 cm uzunluğunda ve 5-6 cm genişliğindedirler.
- Ağırlık yaklaşık 120-200 gr arasında değişmektedir.
- Dışta böbreğin etrafı sert, sadece hafifçe gerilebilir bağ dokusu kılıfı, kapsül fibrosa renis ile çevrilidir.
- Kapsamlı bir yağ deposu olan capsula adiposa renis buna karşıdır. Sırasıyla sert bir fasya olan renal fasyaya gömülüdür.

- Bireysel böbrek, renal medulla (Medulla renalis) ve renal korteks (Cortex renalis) olarak ayrılan böbrek lobları (Lobi renales) adı verilen 6-9 benzer birimden oluşur.
- Her bir lobun iliğinin şekli bir koni veya piramidi andırır, bu yüzden ‘böbrek piramitleri’ veya ‘ilik piramitleri’nden söz edilir. Her böbrek piramidinin ucu, böbrek papillası olarak kalikse doğru çıkıntı yapar. Böbrek papillasında, idrar gözenekleri (Pori uriniferi) olarak adlandırılan duktus papillalarının ince ağızlarını görebilirsiniz. Kalikslerin tamamı sırayla renal pelvisi (pelvis renalis) oluşturur.
- Korteks, medüller piramitlerin tabanının üzerinde 1 cm genişliğinde bir şerit halinde uzanır ve piramitler arasındaki boşluğu bir columnae renales olarak doldurur.
- Medulladan başlayarak, renal tübüllerin (partes rectae) düz kısımları ve toplama tüpleri, medullar ışınlar şeklinde kortekse doğru çıkıntı yapar.
- Medüller ışınların etrafındaki kortikal dokuya kortikal labirent denir. Kıvrımlı tübüler parçaları (Partes convolutae) ve böbrek cisimciklerini içerir.

Histoloji
Böbrekler, içinde idrarın oluştuğu nefron adı verilen çok sayıda küçük birimden oluşur. İnsan böbreğinin her biri 1-1.2 milyon nefron içerir. Nefronun kendisi renal korpüsküller (glomerüller) ve tübüler bir aparattan oluşur. Proksimalden distale doğru sistematik olarak aşağıdaki bölümlere ayrılabilir:
- böbrek cisimcikleri
- Bowman kapsülü
- glomerül
- böbrek tübü
- Proksimal tübül
- Pars convoluta (proksimal kıvrım)
- Pars recta
- ara tübül
- Pars descendens
- Pars ascendens
- distal tübül
- Pars recta
- Pars convoluta (distal kıvrım)
- Proksimal tübül
- toplama tüpü
Proksimal ve distal tübüllerin düz bölümleri (partes rectae), ara tübül ile birlikte Henle kulbu olarak adlandırılır.

Daha geniş anlamda nefronun bir parçası olarak da görülebilen toplama kanalları, tübül sisteminin terminal segmenti olarak kabul edilir. Birkaç distal tübülü boşaltır ve medüller piramitlerin iç medullasına hareket ederek papilla kanallarını (Ductus papillares) oluşturmak üzere birleşirler. Bunlar sekonder idrarı renal papilla yoluyla renal kalikslere bırakır.

Fizyoloji
Primer idrarın filtrasyonu;
- ilk önce primer üre filtre edilir.bu olay böbrek kabuğunda (cortex renalis) , böbrek cisimciklerinde meydana gelmektedir. insandaki primer üre, ortalama sıvı tedariğinde günde yaklaşık 180 litredir.
- glomerulum da, bowman kapsülündeki kan damarı kümesi, 50 mmhg kan basıncı sayesinde kan plazmasını, bowman kapsülünün iç tabakası sayesinde sıkıştıştırılır, orada büyük kan molekülleri (kan hücreleri,makromoleküller) kan damarında kalır(filtrasyon).karşı basınç, kapsülden gelen basınç, yaklaşık 17 mmhg dirç(kapsül basıncı.)kandaki kan molekülleri aynı şekilde kan basıncına karşı bir karşı basıncı oluştururlar, burda su kan damarında tutulur.bu basınç, onkotik basınç veya kolloidosmotik basınç diye adlandırılır ve 25 mmhg kadardır.
kapsül basıncı ve kolloidosmotik basınç ı kan basıncına karşı çalışır. bundan dolayı bowman kapsülündeki etkili kan basıncı yaklaşık 8 mmhg dir. sabit olmayan kan basıncı,bu kritik bölgede düşer,, böbreğin karşı alanına gelir.renin in juxtaglomerular apparatus dan salgılanması renin angiotensin aldosteron sistemi (raas) aktive eder, burda efektiv kan basıncı tekrar artar.
Primer idrarda modifikasyon
ikinci adım, primer ürenin modifikasyonundan oluşur. bu olay tubulus proximalis de meydana gelir.iki mekanizma kapsar. ilki, iyon, glukoz ve protein atıklarını, tubulusdan kana geri emilim gerçekleşir, ayrıca sunun pasif geri emilimi, asıl olarak solvent-drag-mekanizma sayesinde gerçekleşir. diğeri ise, üre, ürik asit ,kreatin, aminoasitin ve iyonun kandan tubulus sisteme salgısıdır. eğer belirli bir madde( diabetes mellitus da glukoz) böbrek seviyesini aşmışsa ,kan tekrar geri emilim gerçekleştiremez, aksine idrarla dışarı atılır.
bu mekanizma sayesinde primer idrarın hacminde yaklaşık 18-20 litre azalım olur.

Kısımları
- Proksimaler tubulus
- henle kulbu
- distalis tubulus

Teşhis
mikrobiyolojik teşhis
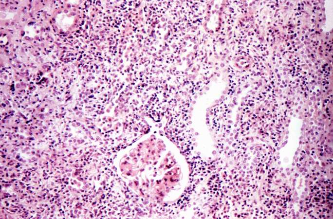
Normal bir böbrek dokusunda;
- Glomerulum,
- Proksimal tubulus,
- İntermediyar tubulus,
- Distal tubulus,
- İdrar havuzu,
- Damar havuzu,
- Jukstaglomeruler aparat,
- Geçiş epiteli.
Diyabetik Glomerulosklerozlu bir böbrekte ise;
- Mezanjilerin nodüler veya difüz yayılması,
- Glomerulanın cansızlaşması,
- Arteriyolların hyalinozlaşması,
- Tubulilerin atrofisi,
- İnterstitiyel liflerin çoğalması,
- Armani-Ebstein hücreler (Glikojen içeren, açık renkli sitoplazması olan tubulus epitel hücreleri)

Böbrek transplantasyonunda uyumsuzluk olması durumunda,
- Akut;
- İnterstitiyel lenfoplazmatik hücre istilası,
- Tubulit,
- Endotel hücrelerin şişmesi ve büyümesi,
- Endotelit,
- Pıhtı oluşması,
- Kan hücrelerinin dokular arası boşluğa geçmesi,
- Kronik,
- Glomerulumun cansızlaşması,
- Yoğun İntima fibrozu,
- Dokular arası fibroz,
- Tubulus atrofisi.

Klinik
Teşhis
Klinik muayene sırasında böbreklerdeki çarpıntılar incelenir. Böbreğin morfolojisi görüntüleme yöntemleri yardımıyla kayıt altına alınır. Bunlar şunları içerir:
- Sonografi
- BT
- MR
- Özel sorular durumunda, böbreklerin kontrast madde gösterimi (IV pyelogram) gereklidir.
Böbrek fonksiyonu, idrar miktarına, idrar konsantrasyonuna ve kandaki idrar maddelerinin (kreatinin, üre, ürik asit, potasyum) konsantrasyonuna göre tahmin edilebilir. Klerens belirlenerek böbrek fonksiyonu hakkında daha farklı açıklamalar yapılabilir.
Bakteri, protein, kan veya glikoz için idrar tortusu ve test çubukları böbrekler hakkında daha fazla bilgi sağlar.
Hastalıklar
Böbrek hastalıkları şunları içerir:
- Piyelonefrit
- Glomerülonefrit
- Nefrolitiazis (böbrek taşları)
- Böbrek tümörleri
- Hipernefroma
- Anjiyomiyolipom
- Malformasyonlar
- Çift böbrek
- Kistik böbrekler
- At nalı böbrek
- Böbrek yetmezliği
- Akut böbrek yetmezliği (ABY), anüri
- Üremi
- Nefroptoz (‘dolaşan böbrek’, ‘batan böbrek’)
- Böbreğin arteriyol nekrozu
- Böbreğin arteriosklerozu
- Diyabetik glomeruloskleroz (transiskemik atak)
- Transplantasyon uyumsuzluğu (transiskemik atak)
- Berrak hücreli renal hücreli karsinom