Plevranın iki zarı arasında sıvı birikmesidir. (Bkz; Plevra) (Bkz; efüzyon)
Plevral efüzyon, akciğerleri ve göğüs boşluğunu kaplayan doku katmanları arasında sıvı birikmesidir.

İçindekiler
Plevral efüzyonun yaygın nedenleri nelerdir?
Plevral efüzyonun en yaygın nedenleri konjestif kalp yetmezliği, kanser, pnömoni ve pulmoner embolidir. Plevral sıvı ponksiyonu (plevral musluk), transüdanın eksüdadan ayırt edilmesini sağlar ve bu da şu anda daha ileri tanısal çalışmaların temelini oluşturmaktadır.
Plevral efüzyonunuz varsa ne olur?
Plevral efüzyonunuz olduğunda, plevranızın katmanları arasındaki boşlukta sıvı birikir. Normalde plevral boşlukta sadece çay kaşığı kadar sulu sıvı bulunur ve bu da nefes aldığınızda akciğerlerinizin göğüs boşluğunuzda rahatça hareket etmesini sağlar.
Plevral efüzyon ciddi midir?
Akciğer etrafındaki sıvı (plevral efüzyon), daha az endişe verici bir şey gibi görünebilen potansiyel olarak tehlikeli bir durumdur. Kötü bir soğuk algınlığına bağlı göğüs ağrısı veya öksürük gibi görünen bu durum aslında ciddi sağlık sorunlarına yol açabilir. Nadir görülen bir durum da değildir.
Akciğerlerdeki sıvı hayatı tehdit eder mi?
Aniden ortaya çıkan pulmoner ödem (akut pulmoner ödem) hayatı tehdit eder. Aşağıdaki akut belirtilerden herhangi birine sahipseniz 112’yi veya acil tıbbi yardımı arayın: Nefes darlığı, özellikle de aniden ortaya çıkıyorsa. Nefes almada güçlük veya boğulma hissi (dispne)
2 tip plevral efüzyon nedir?
İki tür plevral efüzyon vardır: transudatif ve eksudatif.
Plevral efüzyon Evre 4 anlamına mı gelir?
Evre IV kanser, kanserin neden olduğu akciğer çevresinde sıvı toplanması (malign plevral efüzyon olarak adlandırılır) olan kişileri de içerir. Evre IV KHDAK tedavi edilemez, ancak tedavi ağrıyı azaltabilir, nefes almayı kolaylaştırabilir ve yaşam kalitesini uzatabilir ve iyileştirebilir.
Belirtiler
- 500 ml sıvı birikene kadar belirti oluşmayabilir.
- Dispne
- Öksürme krizi,
Teşhis
- Ultrason,
- BT
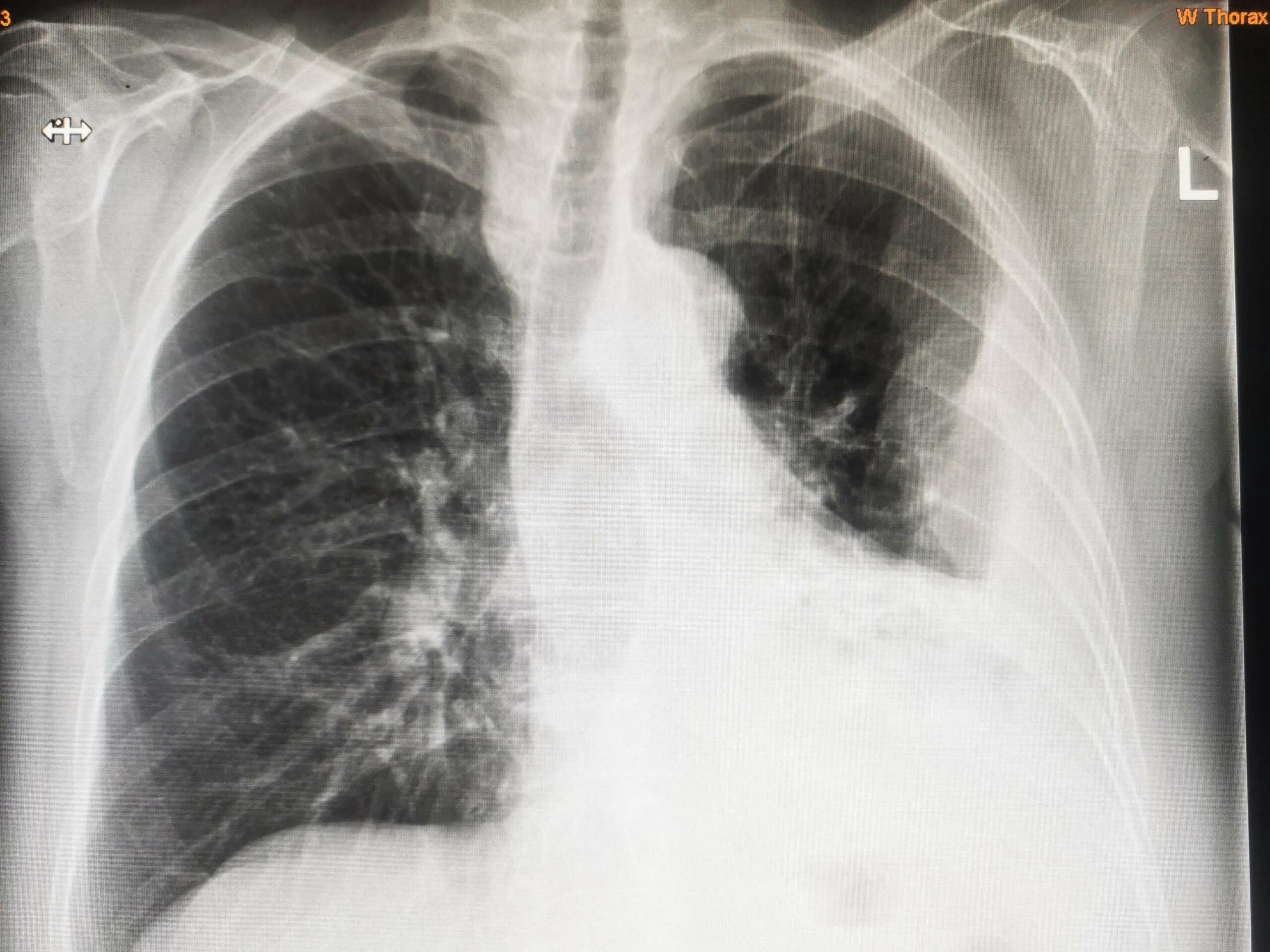
Röntgen teşhis kriterleri
Bir plevral efüzyon, akciğerleri ve göğüs duvarını çevreleyen doku katmanları arasındaki alan olan plevral boşlukta sıvı birikmesini ifade eder. Birçok tıbbi ortamda yaygın bir teşhis sorunudur. Göğüs radyografisi (X-ışını) genellikle bir plevral efüzyonu tanımlamak için kullanılan ilk basamak görüntüleme tekniğidir. Plevral efüzyonu teşhis etmek için kullanılan bazı radyografik işaretler ve kriterler şunlardır:
Kostofrenik Açının Küntleşmesi: Bu genellikle posteroanterior göğüs röntgeninde plevral efüzyonun en erken belirtisidir. Kostofrenik açı, genellikle keskin görünen, göğüs kafesi ile diyafram arasındaki açıdır. Plevral efüzyonla bu açı körelir veya belirsizleşir.
İçbükey Üst Arayüz veya Menisküs: Plevral sıvı, yerçekimi nedeniyle plevral boşluğun alt kısımlarında birikme eğilimindedir ve dik göğüs röntgenlerinde içbükey bir üst sınıra yol açar.
Lateral Dekübit Görünümü: Bu pozisyonda hasta yan yatar ve küçük miktarlarda bile plevral sıvıyı tanımlamaya yardımcı olabilir. Alt tarafta sıvı tabakası varsa (sıklıkla > 1 cm kullanılır) efüzyon doğrulanır.
Mediastinal Kayma: Büyük plevral efüzyonlar mediastende (göğüs kafesinin merkezi kısmı) karşı tarafa kaymaya neden olabilir.
Opaklık: Büyük bir efüzyon durumunda, akciğerin tüm alt kısmı göğüs röntgeninde opak veya beyaz görünebilir, çünkü sıvı röntgenler radyografide beyaz görünür.
Göğüs röntgeni bir plevral efüzyonu teşhis edip efüzyonun boyutu ve yeri hakkında bilgi verebilirken, tipik olarak efüzyonun nedenini belirleyemeyeceğini unutmamak önemlidir. Etiyolojiyi belirlemek için torasentez (analiz için sıvının alınması) gibi daha ileri teşhis testleri gerekebilir.
Tedavi
- 1 Hafta boyunca Furosemid
- Plevra ponksiyon
Plevral efüzyon tedavi edilebilir mi?
Plevral efüzyon ciddi ve potansiyel olarak hayatı tehdit edici olabilir, ancak tedavi edilebilir.
Plevral efüzyon nasıl tedavi edilir?
Konjestif kalp yetmezliği veya diğer tıbbi nedenlerden kaynaklanan plevral efüzyonu tedavi etmek için diüretikler ve diğer kalp yetmezliği ilaçları kullanılır. Kötü huylu bir efüzyon da kemoterapi, radyasyon tedavisi veya göğüs içine ilaç infüzyonu ile tedavi gerektirebilir.

Yorum yazabilmek için oturum açmalısınız.