Eozionofil granülosit

Sinonim: eosinophil granulocyte, eosinophilic leukocyte,
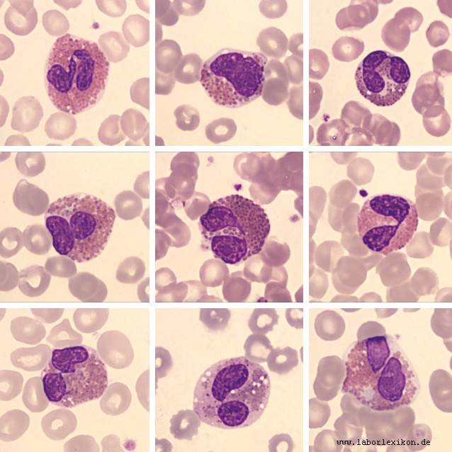
Kaynak: http://www.laborlexikon.de/images/Heama-eosinophile%20Granulozyten%20combination.jpgEosinophiler, Granulocytus eosinophilicus, Eosinophile Granulozyten.
- Akyuvarların alt grubudur. Sitoplazmasında Eozionofilli keseye sahiptir. Taneciğin bir kısmı maviye boyandığından dolayı bu adı almıştır. (bkz: Eozionofil ) (bkz: granülosit)
- Edinilmiş bağışıklıktan sayılır.
- Fagositoz yeteneği vardır. Pranülünde Peroksidaz, Katalaz, Proteaz bulunur.