İçindekiler
Tanım ve Tarihçe
Tornwaldt kisti, nazofarenksin dorsal (arka) duvarında yer alan, embriyolojik kökenli, iyi huylu (benign) ve sıklıkla asemptomatik seyreden konjenital bir kistik lezyondur. Bu yapı, ilk olarak Prusyalı otolog Gustav Tornwaldt (1843–1910) tarafından tanımlanmış ve onun onuruna bu adla anılmıştır. Klinik tablosunun semptomatik hale gelmesi durumunda ise bu tabloya “Tornwaldt hastalığı” ya da “farengeal bursit” adı verilmektedir.
Epidemiyoloji
Tornwaldt kisti, nazofarenks bölgesinin en yaygın konjenital kitle lezyonu olarak kabul edilmektedir. Otopsi serilerinde genel popülasyonun yaklaşık %4’ünde rastlandığı bildirilmiştir. Bununla birlikte, geniş kapsamlı radyolojik taramalarda bildirilen insidans %0,06 düzeyinde olup, bu farklılık olasılıkla çoğu vakanın asemptomatik doğasından ve tanısal amaçlı görüntüleme endikasyonlarının farklılığından kaynaklanmaktadır. Kistler genellikle baş ve boyun bölgesine yönelik manyetik rezonans görüntüleme (MRG) veya bilgisayarlı tomografi (BT) incelemeleri sırasında tesadüfen tespit edilmektedir.
Embriyogenez ve Etiyopatogenez
Tornwaldt kisti, embriyonik dönemde nazofarenksin dorsal kısmında bulunan ve notokord ile endodermal farinks arasında gelişen farengeal bursa yapısının obliterasyonunda meydana gelen bir defekt sonucu oluşur. Özellikle notokordun regresyonu sırasında, dorsal nazofarenks mukozası ile notokord arasında kalıcı bir epitel bağlantısı oluştuğunda bu kistik yapı meydana gelir. Bu gelişimsel anomali, kistin doğrudan orta hatta lokalize olmasına neden olur.
Morfoloji ve Histopatoloji
Tornwaldt kistleri genellikle nazofarenksin dorsal orta hattında, üst servikal omurga düzeyine yakın yerleşim gösterir. Kistin duvarı genellikle kalınlaşmıştır ve içi mukoid materyal ile doludur. Enfekte formlarında içerik pürülan hale gelir. Histolojik olarak kist duvarı respiratuar tipte silyalı psödostratifiye epitel ile döşelidir ve çoğu zaman kronik inflamatuar hücre infiltrasyonları gözlenebilir.
Klinik Belirti ve Bulgular
Çoğu Tornwaldt kisti asemptomatiktir ve rastlantısal olarak tanı alır. Ancak enfekte olduğunda ya da büyük boyutlara ulaştığında çeşitli semptomlar meydana gelebilir. Semptomatik formda aşağıdaki bulgular saptanabilir:
- Orofaringeal semptomlar: Boğazda dolgunluk ve baskı hissi, ağız içine akıntı (postnazal drip), halitozis (ağız kokusu)
- Otolojik semptomlar: Eustachi borusunun mekanik tıkanmasına bağlı olarak orta kulakta seröz effüzyon (seromukotimpanum), otitis media, işitme azlığı
- Nörolojik semptomlar: Ense sertliği ve boyun hareketlerinde kısıtlılık, baş ağrısı
- Solunumsal semptomlar: Nazal obstrüksiyon, özellikle geceleri belirginleşen burundan nefes alma güçlüğü, obstrüktif uyku apnesi benzeri semptomlar
- Yabancı cisim hissi: Farenkste yer kaplayan bir oluşumun varlığına bağlı olarak disfaji ve globus hissi
Komplikasyonlar
Tornwaldt kistinin kronik veya tekrarlayan enfeksiyonları, çevre anatomik yapılara yayılım göstererek çeşitli komplikasyonlara neden olabilir:
- Kronik otitis media
- Paranasal sinüzit
- Eustachi tüpü disfonksiyonu
- Nazofarenksin sekonder bakteriyel enfeksiyonları
- Boyun bölgesinde lenfadenopati
Tedavi edilmemiş kronik inflamasyon vakalarında inflamatuvar kist duvarında kalınlaşma, skar oluşumu ve komşu dokulara fibrotik yapışıklıklar gözlenebilir.
Tanı Yöntemleri
Tornwaldt kisti tanısında klinik şüphe önemlidir, özellikle atipik nazofaringeal semptomları olan bireylerde ayırıcı tanıya dahil edilmelidir. Tanısal yaklaşımlar aşağıdaki yöntemleri içermektedir:
- Nazofaringoskopi: Endoskopik değerlendirme sırasında nazofarenksin dorsal duvarında orta hat boyunca saptanan, mukoza ile örtülü ve sıklıkla mukus içeren kistik yapı gözlemlenir.
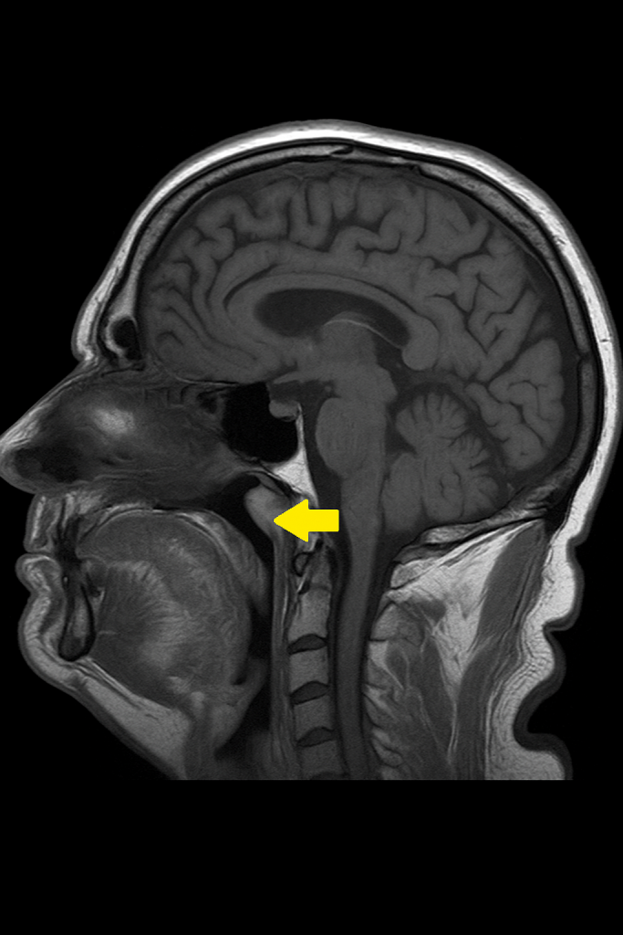
- Manyetik Rezonans Görüntüleme (MRG): Yumuşak doku çözünürlüğü yüksek olduğu için tercih edilir. T2-ağırlıklı sekanslarda hiperintens kistik lezyon izlenir.
- Bilgisayarlı Tomografi (BT): Kalsifikasyonların ya da kemik yapı ile olan ilişkilerin değerlendirilmesinde kullanışlıdır.
- Biyopsi: Atipik bulgular ya da malignite şüphesi halinde ayırıcı tanı amaçlı endikedir.
Ayırıcı Tanılar
Tornwaldt kistinin ayırıcı tanısında aşağıdaki patolojiler dikkate alınmalıdır:
- Retansiyon kistleri
- Adenoid hipertrofisi (adenoid vejetasyonlar)
- Nazofarenks karsinomu
- Nazofarengeal lenfoma
- Juvenil nazofarengeal anjiyofibrom
- Rathke kesesi kisti (özellikle kafa tabanı lezyonları ile karışabilir)
- Halitozis merkezli olgularda: Gastroözofageal reflü hastalığı ve Baker kisti
Tedavi ve Takip
Tornwaldt kistinin tedavisi, semptomatolojiye bağlı olarak planlanır:
- Asemptomatik kistler: Genellikle tedavi gerektirmez, düzenli takip önerilir.
- Semptomatik vakalar: Cerrahi müdahale tercih edilir. En sık uygulanan yöntemler şunlardır:
- Transnazal endoskopik eksizyon: Kistin tamamen çıkarılması, nüks riskini azaltır.
- Marsupializasyon: Kist duvarının açılarak mukozaya entegrasyonu sağlanır, drenajı kolaylaştırır.
- Cerrahi sonrası iyileşme genellikle hızlıdır. Ancak yara yerinde granülasyon ve enfeksiyon riski nedeniyle dikkatli postoperatif takip gereklidir.
Keşif
Tornwaldt kistinin keşif tarihi, 19. yüzyılın sonlarında otoloji ve rinoloji alanında önemli bir figür olan Prusyalı hekim Dr. Gustav Ludwig Tornwaldt’ın çalışmalarıyla başlar.
1. Gustav Tornwaldt’ın Biyografik Arka Planı
- Gustav Ludwig Tornwaldt (1843–1910), Baltık Almanı kökenli bir kulak burun boğaz (KBB) uzmanıydı ve özellikle Riga’da (bugünkü Letonya) uzun yıllar hekimlik ve akademik çalışma yürütmüştür. Eğitimini Dorpat Üniversitesi’nde (bugünkü Tartu Üniversitesi, Estonya) tamamladıktan sonra, Riga’da hastane ve muayenehane pratiği arasında gidip gelen bir KBB uzmanı olarak kariyerine devam etmiştir.
- Tornwaldt, otolojik hastalıklar başta olmak üzere, nazofarenks anatomisi ve patolojileri ile ilgilenmiş, bu bölgenin sistematik endoskopik incelenmesiyle dönemi için oldukça ileri gözlemler yapmıştır.
2. Farengeal Bursa’nın Tanımı (1885)
- Tornwaldt’ın en önemli katkısı, nazofarenksin orta hattında yer alan ve daha önce tanımlanmamış olan bir embriyonik kalıntının – yani bursa pharyngea’nın – klinik ve anatomik varlığını ortaya koymasıdır.
- Bu yapı daha önce yalnızca hayvan embriyolojisinde (özellikle amfibilerde ve memeli fetüslerinde) tanımlanmıştı. Ancak Tornwaldt, 1885 yılında “Über die Bursa pharyngea und ihre Krankheiten” başlıklı makalesiyle bu yapının insan nazofarenksinde de bulunduğunu sistematik bir şekilde ortaya koymuştur.
Makalenin İçeriği:
- Söz konusu makalede Tornwaldt, insan nazofarenksinin dorsal duvarında yer alan, embriyolojik kökenli ve mukozal bir cep şeklinde görülen yapının aslında kalıcı bir embriyonik kalıntı olduğunu ileri sürer.
- Aynı zamanda bu yapının, kronik enfeksiyon durumlarında kistik hale gelebileceğini ve çeşitli otolojik ve nazofaringeal semptomlara neden olabileceğini belirtmiştir.
- Tornwaldt, bu yapının bursa pharyngea adı verilen fizyolojik bir yapı olduğunu, ancak patolojik hale gelmesiyle birlikte semptomatik bir lezyona dönüştüğünü tanımlayan ilk kişidir.
3. Klinik Sendromun Tanımlanması: “Tornwaldt Hastalığı”
- Gustav Tornwaldt, yalnızca anatomik bir yapıdan söz etmemiş; aynı zamanda bu yapının iltihaplanması ile oluşan bir sendromu da ayrıntılı şekilde tanımlamıştır. Bu sendroma sonradan Tornwaldt hastalığı (farengeal bursit) adı verilmiştir.
- Tornwaldt, özellikle otitis media (orta kulak iltihabı), baş ağrısı ve halitozis gibi bulgularla başvuran hastalarda, nazofarenksin dorsalinde bu tür bir lezyonun sorumlu olabileceğini savunmuştur. Bu yaklaşım, dönemi için yenilikçi ve çok katmanlı bir klinik görüşü temsil ediyordu.
4. Bilimsel Etkisi ve Tanısal Gelişmeler
- Tornwaldt’ın çalışmaları, 20. yüzyıl başında Avrupa’da KBB pratiğinde büyük yankı uyandırmıştır. Fakat teknik sınırlılıklar nedeniyle bu yapı, ancak endoskopi ve radyolojik görüntüleme yöntemlerinin gelişmesiyle birlikte daha sık ve güvenilir biçimde tanınır hale gelmiştir.
- 1950’li yıllarda özellikle Duvall (1951) ve diğer KBB uzmanları, Tornwaldt’ın tanımladığı yapıların klinik önemini vurgulamış; 1990’lardan itibaren MR ve BT ile yapılan sistematik çalışmalarda bu yapı daha sık teşhis edilmeye başlanmıştır.
İleri Okuma
- Tornwaldt, G. (1885). Über die Bursa pharyngea und ihre Krankheiten. Archiv für Ohrenheilkunde, 21, 45–55.
- Duvall, A. J. (1951). Tornwaldt’s bursa and its symptomatic lesions. Laryngoscope, 61(6), 605–618.
- Valvassori, G. E., & Buckingham, R. A. (1975). Head and neck imaging. Radiologic Clinics of North America, 13(1), 145–152.
- Laitinen, J., & Valtonen, H. (1997). MRI findings in asymptomatic Tornwaldt’s cysts. Neuroradiology, 39(7), 510–513.
- Kim, Y. H., Choi, S. H., Kim, J. H., & Sohn, C. H. (2010). Clinical significance of Tornwaldt cysts in adults. Clinical Imaging, 34(4), 255–258.
- Choi, J. H., & Lee, K. C. (2020). Clinical and radiologic features of Tornwaldt cyst: a case series and review. Annals of Otology, Rhinology & Laryngology, 129(5), 432–438.



Yorum yazabilmek için oturum açmalısınız.